The image features a man and woman embracing each other with a city skyline in the background during sunset.

Smile Gallery

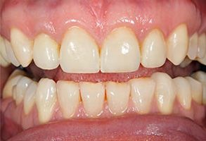
The image shows a person with a broad smile displaying yellowed teeth and gums.

Before

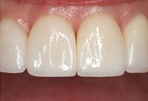
The image shows a close-up of an adult human smile with white teeth and gums, featuring a person wearing lipstick and smiling broadly.

After

The image shows two close-up views of teeth with stained yellow enamel, likely due to poor oral hygiene or discoloration from certain foods and drinks.

Before

The image shows a close-up of a person s teeth with significant staining and discoloration, which could indicate poor oral hygiene or other dental issues.

After

The image shows a close-up of a person s face with a wide smile revealing teeth and a full beard, set against a neutral background.

Before

The image displays a close-up of a person s mouth with white teeth, showcasing a wide smile, against a blurred background.

After

The image displays a close-up view of a person s mouth with a focus on their teeth, which are white with visible enamel wear and some staining, and the lips are slightly parted, revealing the teeth and gums.

Before

The image shows a close-up view of a person s teeth with a focus on a dental procedure, possibly a veneer or cosmetic treatment, with a before and after comparison.

After

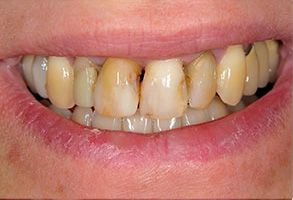
The image shows a close-up view of a person s teeth with significant dental decay and staining, indicating poor oral hygiene and potential need for dental treatment.

Before

The image shows a close-up of a person s teeth with a focus on dental work, such as braces or orthodontic appliances, which are currently in place.

After

Dental implant with visible staining and wear.

Before

The image shows a close-up view of a person s teeth with a focus on the lower front teeth, which are yellowish in color and appear to have some staining or discoloration. The upper teeth are white and clean.

After

The image shows a close-up view of a person s mouth with visible yellowing and staining on the teeth, along with a missing tooth and a metal band around the upper front teeth.

Before

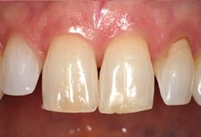
The image shows a close-up of a person s teeth with an unnatural appearance, possibly due to cosmetic alterations or dental work, set against a plain background.

After

Schedule a visit today!
Contact Us
SMS Consent
Submit

Thank You!

We appreciate you taking the time to visit our site. We'll review your message and be in touch with you soon.

Continue
The image shows a row of Victorian-style houses with intricate architectural details, surrounded by a tree with vibrant orange leaves, indicating autumn season, and a sidewalk lined with fallen leaves.